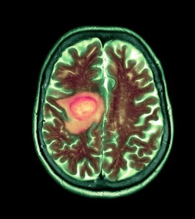
Vorasidenib Under Fire: Experts Question Efficacy and Ethics of New Brain Tumor Drug
Vorasidenib, a new brain tumor drug, faces scrutiny over its efficacy and ethical concerns, raising questions about its real impact on glioma treatment...
September 9, 2024• Case reports
Vorasidenib, a new brain tumor drug, faces scrutiny over its efficacy and ethical concerns, raising questions about its real impact on glioma treatment...
Platform available 24/7, 365 days of the year.
However, our team will respond to inquiries and process courses enrollment requests Monday through Friday, from 8 AM to 4 PM.
